Ученые выяснили, что происходит с мозгом астронавтов после долгого пребывания в космосе
Американские ученые выяснили, что после длительного пребывания в космосе происходят структурные изменения головного мозга. Они могут сохраняться навсегда.
Выводы из наблюдений опубликовал журнал Radiology.
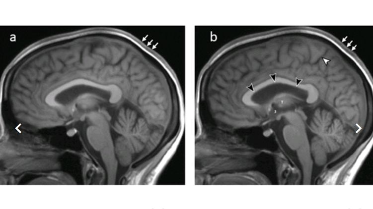
Всем 11 участникам исследования провели МРТ-сканирование мозга до начала полета, на следующий день после возвращения, а также через месяц, три месяца, полгода и год.
После полета у астронавтов наблюдалось увеличение объема головного мозга и циркулирующей в нем жидкости в среднем на 33 миллилитра (это 2%). Изменения сохранились и через год после окончания полета: объемы были увеличены на 28 миллилитров. Кроме того, у шести астронавтов наблюдалась небольшая деформация гипофиза - ключевого для эндокринной системы участка мозга. Его размер в среднем уменьшился с 5,9 до 5,3 миллиметров у 6 из 11 астронавтов.
Увеличение объемов головного мозга и циркулирующей в нем спинномозговой жидкости вызвано повышением внутричерепного давления из-за длительного пребывания в условиях микрогравитации.
Одно из наиболее распространенных последствий повышения давления - отек зрительного нерва и нарушения зрения. Изменения давления также способно привести к нарушениям когнитивных функций.
Ученые пришли к выводу, что изменения мозга вследствие длительного пребывания в космосе постоянные. По крайней мере, они сохраняются в течение года, а динамики в сторону возвращения к норме нет.
Ранее "Страна" рассказывала об исследовании, установившем, что джазовые музыканты, которые профессионально играют на гитаре, практически отключают мозг во время игры.
Также мы писали, что клетки человеческого мозга развиваются медленнее, чем у других приматов.




